Das KapitalЪ (совместный блог Nameless и Khishtaki)

849
Статистика
Статистика
849
  • 500+
    подписчиков
Статистика темы
  • Популярность
    Топ-4707
  • Постов
    20,811
  • Просмотров
    2,748,966
  • Подписок
    849
  • Карма автора
    +22,852
1 23 24 25 26 1041
  • hI100Rich @ 31.10.2015
    Nameless00, сериал "Солдаты", персонаж - прапорщик Шматко.


    Не удивительно что не узнал ))
    Давно очень, когда компов у меня было меньше чем обитателей в квартире, я иногда вкушал еду под телевизор и там все это включая Солдатов присутствовало. Но это реально давно было и неправда.
    Ответить Цитировать
    230/6727
    + 0
  • Так. Хватит это терпеть.
    Сегодня, пока последние несколько часов перед Halloween party я нахожусь в сознании, анонсирую вам статью про фенотип, генотип и генетический код.

    Теперь если не закончу ее в течении пары дней - буду не пацан.
    Хотя вот кому я это все вру тут? Пацан из меня так себе независимо от статьи.
    Ответить Цитировать
    231/6727
    + 10
  • Фенотип, генотип, кодоны и прочая лабуда.

    Фенотип, это тип, произошедший от человека, употребляющего амфетамин, или в простонародье - фен. Генотип - это тип, произошедший от Гены.

    Не пугайтесь так сразу. Это я вначале дурацкую-дурацкую попытку спетросянить вставил, чтобы на ее фоне просто дурацкие шутки далее по тексту смотрелись выгодно. Законы драматургии, епта. Золотое сечение. Сечешь?

    Теперь серьезно. Ну как серьезно. Чутка серьезней.
    Для того, чтобы рассказать про отличия фенотипа и генотипа, да так, чтобы поняли, придется углубляться в дебри работы ДНК. Возможно где-то буду повторяться.

    В основе ДНК лежат четыре нуклеотида, в основе которых лежат четыре азотистых основания - цитозин, аденин, тимин и гуанин.
    Они парно комплиментарны друг другу.Напротив аденина может встретиться только тимин, напротив цитозина - только гуанин.

    Короли женятся только на королевах, негры на неграх. Традиции в молекулярной биологии блюдут строго.

    Кстати, именно так ДНК и размножается. Цепочка разрывается надвое, после чего каждому тимину по аденину, каждому аденину по тимину, землю крестьянам, фабрики рабочим, вуаля - у нас две идентичные копии. Жаль что у Ленина так не получилось.

    Работает это при помощи физических законов. Если говорить грубо - то пространственная и энергитическая конфигурация нуклеотида на основе аденина такова, что тимин с ним прям таки слипается. Они подходят друг к другу как ключик к замку, как соль к текиле, как Михайлов к пожилым и одиноким женщинам.

    Вот только что я вам открыл главный закон жизни. Теперь химики и ботаники должны меня убить.

    Да да, все в вашем организме строится и работает примерно таким же образом. ДНК (РНК) кодирует белок, который организован в пространстве так, что подходит к другим белкам и веществам и вместе они делают всякие ништяки, типа расщепления жиров в энергию или переноски кислорода.

    Почему они это делают? А почему кубики пролазят в квадратные отверстия, а в круглые - только если ты очень сильный? Физическая форма. И вот ДНК - она не про длину шеи жирафа или цвет шерсти медведя. Она в основном про белки. ДНК в силу своей физической формы производит РНК, РНК производит белки, белки, опять же в силу своей физической формы - производят всякие ништяки. Иногда это происходи опосредованно, через промежуточные вещества, но чаще всего сразу.

    Сделаем тут отступление. Про генетический код.
    Таккактекстнаписанныйтакимобразомчитатьоченьнеудобно, эволюция позаботилась о разбивке на структурные блоки - кодоны.
    Эволюция использует триплеты. Нуклеотиды по трое формируют кодоны - буквы генетического кода. Ну и знаки пунктуации заодно. Так называемые стоп-кодоны.

    Кодоны кодируют аминокислоты, из которых уже и строятся белки и все остальное.

    При этом генетический код - универсален. Кодон CGU будет кодировать аргинин как внутри человека, так и внутри сине-зеленой водоросли.
    В том числе на основании генетического кода делаются выводы об эволюции и происхождении всего живого от одного прародителя.

    Теперь обобщим. ДНК при помощи кодонов кодирует аминокислоты, аминокислоты подходящие друг другу физически и энергетически склеиваются и формируют белки, белки делают тебя тобой. Очень приближенно, но в общем верно.

    Еще раз заострю внимание на том, как это выглядит.
    Представьте себе детальку пазла. Мимо нее дрейфуют другие детальки, пытаясь пристыковаться. Некоторые подходят. Теперь у нас есть комплекс из двух деталек, к ним в таком же хаотичном дрейфе пристыковываются другие подходящие детальки, комплекс растет. Потом доходит до стоп-кодона, прекращает расти и начинает выполнять свои функции. Очень приближенно, но в общем верно.

    Помимо непосредственно белков как строительных блоков ДНК кодирует еще и регулирующие вещества.
    Допустим некоторые аминокислоты склеиваются и образуют некий белок только в присутствии третьего, регулирующего вещества. Ну как катализатор. Тогда количество этих белков прямо зависит от наличия всех трех компонентов, двух аминокислот и регулирующего вещества.

    Идем дальше. Допустим этот катализатор вырабатывается в неких клетках, и не вырабатывается вне их. И этот катализатор в силу своих физических особенностей может путешествовать с потоком жидкости в клетках или между ними. Тогда концентрация искомого белка будет градиентно падать по мере удаления от клеток, вырабатывающих это регулирующее вещество (катализатор). То есть чем ближе к ним, тем больше белка, чем дальше - тем меньше, и уменьшаться это дело будет плавно, сообразно опять же с физическими законами.

    Продолжаем. Представим себе, что этот белок - пигмент, придающий окраску. Меланин например (хотя меланин не белок, но продукт распада аминокислоты, что в нашем случае эквивалентно), а место его производства - шерсть.

    Что мы получаем? Мы получаем шерстинку, градиентно окрашенную от основания к кончику. Черная в начале, светлая на конце.

    Добавим еще регулирующее вещество, и мы получим правила распределения темных и светлых шерстинок на шкуре - то есть окрас. Например пятнистый или полосатый.

    Вы видели когда-нибудь фракталы? Это такие, математически описанные рисунки. Выглядят очень сложно и иногда даже красиво, но описываются набором несложных формул. Вот тут тот же принцип.

    Количество наших регулирующих веществ, расстояние, на которое они могут удаляться от места синтеза, пропорции в которых регулирующее вещество катализирует производство нашего меланина - это все переменные или константы в нашем уравнении. Все сложнейшие узоры на шкурах кошачьих или крыльях бабочек можно описать набором уравнений, а этот набор уравнений выразить в терминах аминокислот, их производных и регулирующих веществ.

    И теперь если мы добавляем мутацию, ну например которая приводит к перепроизводству регулирующего вещества, мы меняем одну из констант или переменных в нашем уравнении, и на выходе получаем совсем другой окрас.

    Одной, даже точечной мутации может быть достаточно, чтобы полностью перекроить внешний вид животного, если эта мутация относится к регулирующему окрас веществу. Добавим вторую мутацию, которая меняет пространственную конфигурацию пигмента, и следовательно его светоотражающую способность, и мы получаем помимо другого распределения пятен и полос на шкуре еще и другой цвет шерсти.

    Буквально за пару мутаций мы можем из полосатой черно-белой зебры получить пятнистую или монотонно окрашенную пегую.
    Другое дело, что этой пегой в стаде кобылы давать не будут, а то и выгонят, потому что они не любят, когда кто-то выпендривается и выделяется своим внешним видом.
    Если ты зебра - будь как все, не выебывайся. Оставь все эти разные рубашечки и шарфики людям, у них на этом целая индустрия построена. Не верите - спросите у nl_profit.

    То же самое относится и ко всему остальному. И к шее жирафа, и к длине хвоста павиана. Только регулирующее вещество в данном случае ограничивает не производство пигмента, а допустим производство костной или мышечной ткани. Вот так вот например выглядят собаки, у которых ученые отключили гены, отвечающие за остановку производства мышечной массы.



    Любому качку на зависть.

    Увеличилось количество регулирующего вещества - выросла шея длиннее, не выдержала нагрузки, сдох тузик. Ну или как там у жирафов клички бывают? Сдох жирафик.

    Так это и работает. С одной стороны мутации постоянно производят все новые и новые варианты окраса, пропорций, повадок и тд. С другой - естественный и половой отбор элиминирует неудачные варианты.

    Так вот! К чему я это все.
    Внешний вид и пропорции и вообще все остальное в организме - это фенотип.

    Генотип - это инструкция по сборке. Причем не ясная и понятная, а наподобие икеевских. Можешь собрать шкаф с тремя полочками, можешь с пятью, можешь вообще этажерку на выходе получить. Ну или как обычно - кусок неустойчивого и хлипкого шведского говна.

    Результат зависит от имеющихся питательных веществ, условий среды и тому подобного.
    Ну или в случае с икеей - от кривизны рук сборщика и жадности, приведшей к желанию сэкономить на профессионалах.

    И еще раз. Повторение, мать вашу.
    Надо же как-то компенсировать общую путанность моей мысли.

    Генотип - это инструкция, или набор прессформ для белков и других строительных блоков организма + набор прессформ и правил для производства регулирующих веществ.
    Фенотип - это то, что получается в результате следования этой инструкции, и зависит как от генотипа, так и от условий среды. И еще немножко от случайностей.

    Формирование фенотипа из генотипа происходит путем последовательного взаимодействия аминокислот, белков и других веществ, большая часть которых происходит просто из-за подходящести физической и энергетической формы этих веществ.

    И еще. Большая часть мутаций, даже если мы отбросим все вредные, нейтральные и синонимичные - не влияет на видимую нашему глазу часть фенотипа. Мутация может вызывать ну например изменение проводимости определенных нейронов, и это сделает тебя умнее или эмоциональнее. Мутация может увеличить эффективность расщепления АТФ, или захвата и переноса кислорода, и это сделает тебя сильнее и выносливее. Мутация может повлиять на эффективность расщепления жиров, и потом ты будешь хвастаться своей фигурой и с умным видом будешь рекомендовать тем, кому не так повезло - поменьше жрать.

    Но чаще всего мутация в одном отдельно взятом организме не делает вообще ничего. Слишком многое должно совпасть, чтобы случайная мутация оказала какой-то ощущаемый эффект.

    P.S. Я щас вот сам перечитал, и понял что написано так себе. Если есть вопросы или уточнения - излагайте, потом на основе ваших комментариев перепишу уже в нормальный вид.
    Ответить Цитировать
    232/6727
    + 44
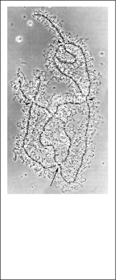
  • И еще, чтобы лучше представлять масштаб бедствия.

    Некоторые думают что ДНК выглядит вот так:


    Ну или хотя бы вот так:


    На самом деле это выглядит примерно так (фотка отстой, звиняйте, другой не нагуглил, с планшета неудобно):


    То есть очень сложно и беспорядочно внешне устроено все. И вот все эти изгибики и петли обусловлены сугубо физическим строением ДНК.

    То же самое и с белками. Есть даже целая дисциплина, изучающая фолдинг белков. То, как белок сворачивается, в какую пространственную структуру. Это настолько ресурсоемкий процесс в плане вычислений, что даже суперкомпьютеры справляются так себе, и ученые стали отдавать это дело на краудсорс, выпуская игрушки, имитирующие фолдинг белка, в которых миллионы геймеров ищут оптимальные энергетические конфигурации.

    Если кому нечего делать - можете найти, скачать. Глядишь и внесете свою лепту в науку не только в виде анализов и истории болезни.
    Ответить Цитировать
    233/6727
    + 10
  • Щас вот, пока я на низком старте на пьянку и блядство, именуемое еще Halloween party, пытаюсь отбить завтрашнее похмелье.

    Сыграл пока такую вот раздачу:
    !!! Внимание, раздача выполнена профессиональным лудоманом каскадером, повторять опасно для банкролла !!!
    Я рейз 4бб на , получил пять колов.

    Флоп все чек, баттон меньше 30% банка. Я думаю фигня какая-то, вкрутил его в 30 блайндов, он кол. Ну думаю, упорный попался, но вторую ставку то не держит.
    Терн я ставлю 55 блайндов, к тому моменту это 60% пота. Он поменьжевался, попросил посчитать сколько у меня и вколол, оставив за спиной 50бб еще.

    Ривер , я чек, он пуш. Ну тут изи колл по ГТО или чем еще там хайроллеры оправдывают такое? На блокерах? По телзам? В общем изи колл, там заноси почти 200 ББ.

    Потом правда все плюса почти раздал в неинтересных. Короли, валеты, комбодро и тому подобное.

    Но я вообще не о том хотел. Тут же Хелловин, все веселые. Рассказали за столом один анекдот и одну загадку.

    Анекдот такой: сидят в церкви белый, латинос и негр. Заходит Бог. Возлагает руки на латиноса, тот обрел слух, которого у него с детства не было. Возложил руки на белого, у того заработала парализованная рука. Подошел к негру, а тот такой "Боже, не трогай меня, я боюсь потерять пособие по инвалидности".
    Такой вот американский анекдот. Все похихикали. Негров за столом не было.

    А загадка имеет смысл только на английском. И интересна только ценителям этого тарабарского наречия. Излагаю как услышал, чур над ошибками не смеяться.
    747 Boeing crashes. Have 300 passengers on it. Every single person died. Who still alive?
    Кто разгадает без гугла - тот ваще профи в английском.
    Ответить Цитировать
    234/6727
    + 8
  • не самое уместное время для такой шутки имхо.

    выжили видимо пары
    Ответить Цитировать
    1/5
    + 3
  • Warlocheg @ 1.11.2015
    не самое уместное время для такой шутки имхо.
    выжили видимо пары


    Ага, пары. Наверное да, время неудачное. Просто я тут российские новости не смотрю, и для меня это событие вообще мимо прошло, пока мне египтянин в магазине не рассказал.

    А это случилось уже после того как я опубликовал.
    Ответить Цитировать
    235/6727
    + 2
  • Краткий отчет с настоящего американского Halloween party: ничего особенного.

    Менее краткий отчет - это все чертовски похоже на Тарантиновские фильмы. Я не знаю что причина, а что следствие, сформировал ли Тарантино своими фильмами культуру, или только талантливо отразил, но очень все напоминает.

    Например опять я совершил правонарушение, в этот раз правда во имя любви. Любвя моя, в костюме La Llorona выглядела достаточно аппетитно, для того чтобы подорваться до дилера с человеком, который как по мне - был в костюме раннего Тарантино, включая очочки. Но он сказал мне что это костюм какого-то музыканта, которого я не знал.

    И вот приезжаем мы с ним значит к дилеру. И дилер просит нас во первых не шуметь, потому что соседи спят, во вторых - отвлечь его кота, потому что иначе тот может рассыпать необходимые нам вещества, потому что сильно соскучился по своему хозяину. И вот глажу я этого кота, смотрю как толстоватый паренек в обычной рубашке взвешивает нам чо надо, веду попутно какую-то очередную лингвистическо-культурную дискуссию о Люке Бессоне и понимаю что выглядит это все как чортова пародия на Криминальное Чтиво, или избранные диалоги из Бешенных псов. Так и хочется им рассказать про то, как в Европе мы кличем их четвертьфунтовые гамбургеры.
    Кромешный сюр. Никаких тебе негров в белых шубах, золотых цепях, увешанных красотками в бикини. Никаких тебе трущоб и подвалов с отчаявшимися торчками.
    Только кот, Люк Бессон и соседи.

    Или вот подработывал я на этой пати барменом. Дело в том, что американцы не знают о самбуке. Ее не закажешь в большинстве баров, ее нет в большинстве алкогольных магазинов, и продавцы даже названия не знают. Я решил восполнить этот пробел, нашел, купил, привез.

    Пришлось готовить. Наверное порций двадцать забодяжил в итоге. Половина попробовавших в шоке, половина в восторге, но всем было весело, и молва о сумасшедших русских только выросла и окрепла.

    И на правах бармена я соотвественно перезнакомился с большей частью гостей.
    Среди них оказались:
    1. Выходец из семьи из Нижнего Новгорода, но родившийся уже в США, но вторая половина его крови - шотландская, что он продемонстрировал прийдя в килте, причем как положено, без всего. И светил своим шотландским происхождением всю вечеринку. Ему я рассказывал о Нижнем Новгороде.
    2. Симпатичная девица в кепке, по имени Jen, рассказавшая мне об интеллектуальном американском панк-роке, использующем референсы из Мастера и Маргариты в своем творчестве. Ну и соотвествен про то, что сама она Мастера и Маргариту читала аж в двух переводах.
    3. Парень в костюме Жанны Д'Арк, который опять напомнил мне о Бессоне, с ним мы говорили про Игги Попе, и я рассказал ему о Аризонской мечте, поразив его тем, что есть фильм с Деппом и Игги о котором он не слышал.
    4. Очередная стриптизерша в костюме, ща вот будет очень оригинально - стриптзерши. С ней мы общались о превратностях работы стриптизерши. В одном месте мало денег, а в другом full nude, и она постоянно плачет на работе, и непонятно ей такой молодой и не очень красивой, как жеж жить дальше, и она, в первый раз меня видя, спрашивает меня как жить дальше.
    5. Какие-то еще, менее запомнившиеся люди...

    В общем работа бармена - чертовски увлекательна.
    А еще я просрал уникальную возможность наделать клевых фоток. Так что фоток не будет.

    В общем как-то так. Как я и говорил в самом начале - ничего особенного.
    Ответить Цитировать
    236/6727
    + 58
  • Как же это всё круто. Аж охуеть можно.
    Ответить Цитировать
    6/83
    + 4
  • Прямо как у классика:

    — Это не котельная! Это, извини меня, какая-то Сорбонна!.. Я мечтал погрузиться в гущу народной жизни. Окрепнуть морально и физически. Припасть к живительным истокам… А тут?! Какие-то дзенбуддисты с метафизиками! Какие-то блядские политональные наложения! Короче, поехали домой!..
    Ответить Цитировать
    2/8
    + 2
  • hardtoobey @ 3.11.2015
    Прямо как у классика:


    Вооот. Блядские политональные наложения - очень точно подмечено.
    Только мне по кайфу. Забавно очень.
    Ответить Цитировать
    237/6727
    + 1
  • Разного помаленьку.

    Про падение самолета мне сообщил египтянин в магазине на заправке. Узнав что мы русские он сказал мне что очень уважает Россию, и вообще все в их стране очень уважают Россию, и что он выражает соболезнования и не взял с нас денег за кофе.

    На следующий же день, один азиат в казино вякнул что-то вроде "это возврат за борт Корейских Авиалиний, сбитых СССР двадцать пять лет назад". Я не стал погружаться в полемику, хотя хотелось конечно спросить у него, как скоро тогда штатам ждать обратки за недавний разбомбленный госпиталь например. Но вообще интересно вот следующее. Самые три неприятных момента связанные с тем что я русский, были вызваны двумя азиатами и негром.
    Почему эти черти хотят казаться более американцами чем сами американцы?

    Мой знакомый музыкант Justin живет меньше чем на 2к в месяц. Не хочу сейчас выглядет пижоном, но например по старому курсу доллара я даже в России далеко не всегда укладывался в 2к. То есть бедных, но веселых тут тоже хватает.

    Про одну из симпотных девиц на пати, в клечатой рубашке и очках, очередной мой самбучный клиент рассказал мне что так то она лесби, но конкретно сейчас временно спит с мужчинами, потому что нормальную бабу уже не найти. Так вот тут все сложно в отношениях.

    Возможно мне показалось, языковой барьер и все такое, но один из местных, в костюме какой-то неизвестной мне поп-дивы, пытался клеиться ко мне и убедить меня в том, что я хочу уехать с этой вечеринки с ним, а не с моей Ла Йороной. Но надо сказать, что он не был слишком назойлив, и после третьего моего "Definetely not" - поцеловал мне руку и отстал. Так вот тут все сложно в отношениях.

    Что еще вспомню - допишу.
    Ответить Цитировать
    238/6727
    + 29
  • а фотки с вечеринки?
    Ответить Цитировать
    20/107
    + 0
  • Nester @ 3.11.2015
    а фотки с вечеринки?


    Я фоток не делал. Ща разослал по всем моим новым знакомым запрос, может у кого найдется чем поделиться, тогда выложу.
    Ответить Цитировать
    239/6727
    + 4
  • @SkinnySucker:
    — You know, they've built a George Orwell memorial in Russia!
    — What? Where?
    — Pretty much everywhere.
    Ответить Цитировать
    240/6727
    + 21
  • Нашел пока только вот что.
    Справа Jen, та которая рассказывала мне о влиянии Мастера и Маргариты на американский панк-рок.

    Ответить Цитировать
    241/6727
    + 23
  • Хеллуин продолжается?
    Ответить Цитировать
    21/118
    + 0
  • seanay @ 5.11.2015
    Хеллуин продолжается?


    Ну это то опять пьют. А я погрузился в гринд, мне уже через несколько дней покидать США, надо денег напоследок нажить бы.
    Поэтому отклоняю предложения.
    Ответить Цитировать
    242/6727
    + 1
  • Nameless00 @ 3.11.2015
    Я фоток не делал. Ща разослал по всем моим новым знакомым запрос, может у кого найдется чем поделиться, тогда выложу.


    А я ожидал фоток.Было бы интересно глянуть.Жаль.
    Ответить Цитировать
    5/82
    + 0
  • Попалось на глаза - херня какая-то?
    Сообщение отредактировал seanay - 6.11.2015, 0:23
    Ответить Цитировать
    22/118
    + 0
1 23 24 25 26 1041
1 человек читает эту тему (1 гость):
Зачем регистрироваться на GipsyTeam?
  • Вы сможете оставлять комментарии, оценивать посты, участвовать в дискуссиях и повышать свой уровень игры.
  • Если вы предпочитаете четырехцветную колоду и хотите отключить анимацию аватаров, эти возможности будут в настройках профиля.
  • Вам станут доступны закладки, бекинг и другие удобные инструменты сайта.
  • На каждой странице будет видно, где появились новые посты и комментарии.
  • Если вы зарегистрированы в покер-румах через GipsyTeam, вы получите статистику рейка, бонусные очки для покупок в магазине, эксклюзивные акции и расширенную поддержку.